02.06.2025
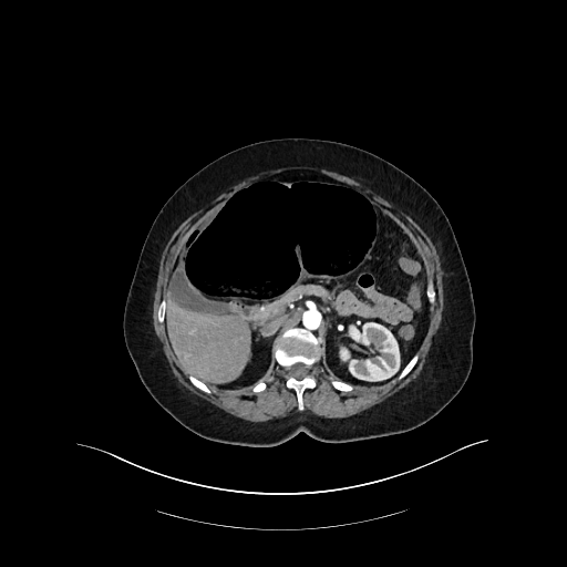
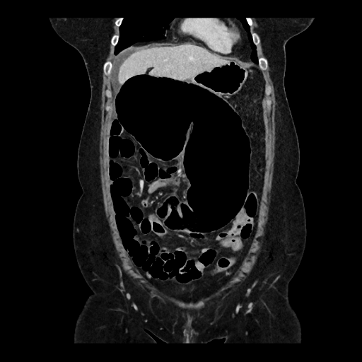
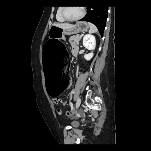
Une patiente de 59 ans, avec antécédents de lithiases vésiculaires, se présente aux urgences pour une douleur abdominale diffuse à type de colique, d'apparition brutale depuis la veille au soir. La douleur est d'intensité 8/10, sans position antalgique ni caractère transfixiant. La patiente signale que ces douleurs sont similaires à ses épisodes antérieurs de migration lithiasique biliaire. Le tableau clinique est également marqué par des nausées, six vomissements liquidiens et un vomissement biliaire à l'admission. La patiente note une inappétence ainsi qu'un épisode de selles liquides la veille. Ses antécédents chirurgicaux se limitent à une césarienne. A l'examen, la patiente est très inconfortable sans position antalgique, et afébrile (36,7°C). Les constantes vitales sont stables (TA 100/71 mm Hg, FC 83 bpm, FR 16 cycles/min, SpO2 95%). L'abdomen est souple, sensible en sus-pubien et épigastrique avec masse palpable sans défense ni détente. Les signes de Murphy et du psoas sont négatifs. Le bilan biologique révèle une légère hyperleucocytose (11,4 G/L) et une CRP à 6,8 mg/L, avec tests hépatiques normaux et des lactates à 1,2 mmol/L.

Quelle est la particularité évolutive du volvulus du cæcum par rapport aux autres types de volvulus coliques ?