Quiz
Question n° 99
07.10.2024

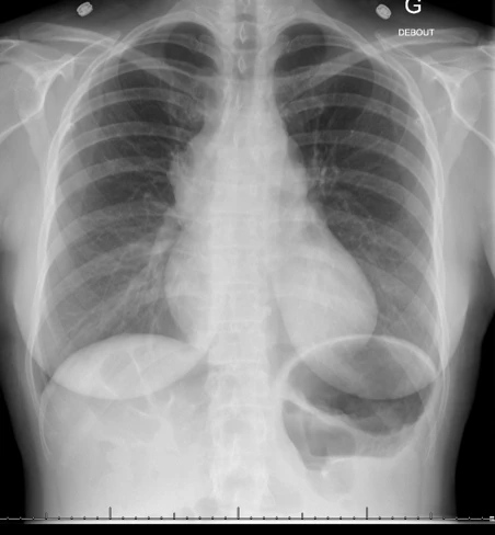
Une patiente de 37 ans en bonne santé habituelle se présente aux urgences en raison d’une oppression thoracique para-sternale droite majorée à l’inspiration profonde depuis 24 heures, non soulagée par le paracétamol. Elle mentionne une difficulté à finir les phrases lorsqu’elle lit des histoires à ses enfants. L’examen clinique est strictement normal. La saturation est à 97% à air ambiant. Les douleurs sont partiellement reproductibles à la palpation. L’ECG est sans particularités, les D‑dimères et les troponines sont négatives.

Voici sa radiographie de thorax :

Que fais-tu ?