Quiz
Question n° 26
26.02.2023

Un EMS adresse aux urgences un résident de 88 ans avec un syndrome démentiel avancé qui présente un état confusionnel hypoactif depuis 24h.

Le patient présente des antécédents vasculaires, un s/​p AVC et STEMI stenté, des antécédents chirurgicaux abdominaux et des troubles du comportement. Ses traitements consistent en : Aspirine®, IEC, statine, Sintrom®, Distraneurine®, Haldol®, Temesta®.

L’équipe soignante de l’EMS rapporte un arrêt des selles depuis 72h, pas de globe urinaire et un état hypoactif depuis 24h alors qu’il est plutôt hyperactif d’habitude. 

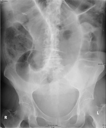
Ton status montre un abdomen tendu, douloureux et tympanique. La gazométrie veineuse à l’arrivée montre des lactates à 5 mmol/​L.

Tu obtiens rapidement un ASP de débrouillage :

Dès lors, que vas-tu dire au ou à la chirurgien·ne ?