Image
Traumatisme rénal
31.10.2024

Un patient de 18 ans en bonne santé habituelle, se présente à l’accueil des urgences à la suite d’une chute à moto à faible cinétique. Il était casqué, a chuté sur son côté gauche et a été trainé sur plusieurs mètres. Il présente des dermabrasions des deux genoux et du coude gauche ainsi qu’une douleur du flanc gauche. En urinant, il constate une macrohématurie.

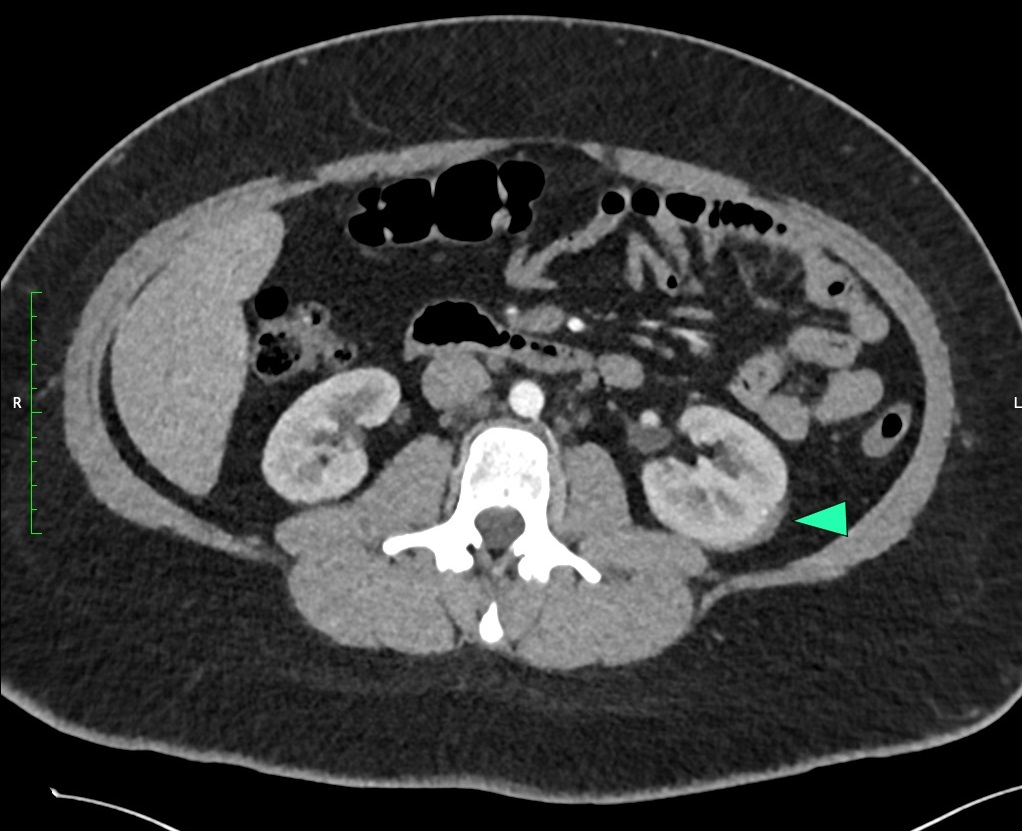
A l’examen clinique, le patient est normotendu, normocarde et eupnéique et présente une douleur à l’ébranlement de la loge rénale gauche. Le CT-scanner throraco-abdominal met en évidence un très discret hématome périrénale gauche, sans fracture rénale associée ni lésion ou de dilatation pyélocalicielle.

Ce patient présente un hématome isolé du rein gauche (flèche verte) de grade 1 selon l’AAST (1).


Les lésions rénales post-traumatique sont majoritairement contendantes et fréquemment retrouvés en association avec d’autres lésions. Les traumatismes rénaux isolés sont rares et représentent environ 10-15% de tous les cas de traumatismes rénaux. Les impacts directs sur le flanc (ex. lors d’activités sportives), les chutes d'une hauteur modérée ou les accidents de vélo ou de moto à faible vitesse sont fréquemment rapportés (mécanismes de décélération).

Dans ce cas précis, le bas grade lésionnel, la stabilité hémodynamique avec absence de saignement actif laissent présager un bon pronostic et seul une attitude conservatrice est préconisée avec une surveillance. Pour le grade 3 et 4, un contrôle hémodynamique plus rapproché avec suivi de l’hémoglobine est recommandé. Le recours à l’embolisation se fait en cas de saignement actif. Pour le grade 5, le nombre de lésions associés au traumatisme rénal, l’instabilité du patient et la présence de lésions majeures du hile orientent vers une prise en charge chirurgicale.

Image proposée par Hôpital de La Tour