Image
Abcès hépatique
24.11.2025

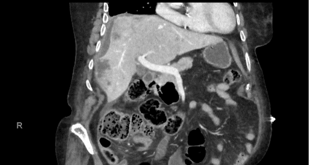
Une patiente de 90 ans consulte les urgences en raison de douleurs abdominales et de vomissements. L’abdomen est diffusément douloureux, particulièrement en hypochondre droit. Le bilan biologique montre un important syndrome inflammatoire avec des leucocytes à 33 G/L et une CRP à 250 mg/L, sans perturbation des tests hépatiques. Un CT-scanner abdominal est effectué.

Le radiologue retient des probables abcès hépatiques en raison du syndrome inflammatoire sans exclure un diagnostic différentiel de métastases. La patiente est hospitalisée pour antibiothérapie iv.

L’abcès hépatique est une pathologie rare avec une incidence annuelle de 3.6/100000 (USA). Le germe le plus fréquent est bactérien ou parasitaire (rarement fongique). L’infection qui conduit à un abcès hépatique peut se propager par voie biliaire, hématogène (artérielle ou portale) ou par contiguïté. 

Le diagnostic peut être fait par CT-scanner, ultrason ou IRM dans les cas plus difficiles. En cas d’abcès d’origine bactérienne, un traitement antibiotique est instauré pour les abcès de petite taille. Une ponction/aspiration doit être proposée en cas d’abcès unique de plus de 5 cm. Un drainage chirurgical est à discuter en cas d’abcès rompu, d’abcès cloisonné inaccessible au drainage percutané ou répondant mal au traitement antibiotique mais la morbi-mortalité est élevée. En cas de kyste amibien, un traitement par antibiothérapie suffit dans la majorité des cas.

Image proposée par l'Hôpital Riviera-Chablais.