Image
Pneumo­médiastin
26.10.2023

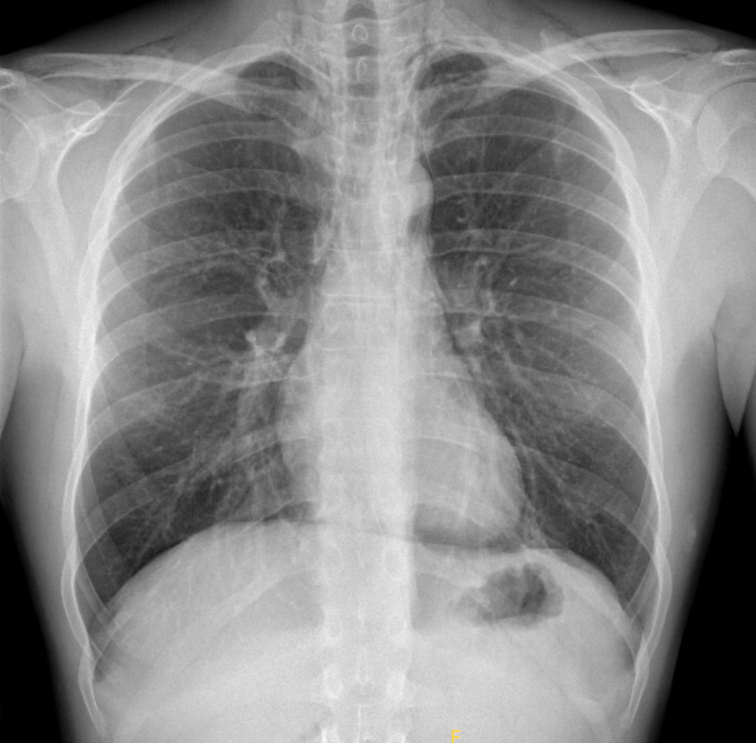
Un jeune patient se présente pour une douleur thoracique respiro-dépendante associé à une dyspnée. A la radiographie du thorax un pneumomédiastin (PM) est diagnostiqué. Le scanner thoracique révèle un PM se propageant jusque dans les parties molles du cou, sans lésion sous-jacente mise en évidence. Le bilan ORL et gastroscopie est dans la norme. La bronchoscopie met en évidence une possible lésion de la bronche souche gauche proximale, traitée conservativement.

Le PM , défini par la présence d’air dans le médiastin, se classe en deux catégories :
· le PM secondaire à une autre pathologie généralement rapidement identifiable (traumatique ou iatrogène)
· le PM spontané (ou idiopathique), lorsque de l’air est visualisée dans la cavité médiastinale, sans claire étiologie.

Le PM spontané est une pathologie rare, qui peut être bégnine ou la complication d’une pathologie mortelle, raison pour laquelle il est important de rechercher activement une étiologie. Si au final le diagnostic de PM spontané est retenu, l’évolution est généralement favorable avec une bonne réponse au traitement conservateur sans récidive.

Il se présente typiquement avec une douleur rétrosternale, plus rarement une dyspnée, une toux, douleur du cou et/ou une dysphagie et exceptionnellement avec des dorsalgies, une odynodysphagie, des lipothymies, une rhinolalie et/ou des épigastralgies. Le signe de Hamman (‘s crunch) : bruit pathognomonique entendu à l’auscultation du médiastin, synchrone aux bruits du cœur, est audible dans moins de 20% des cas.

Les facteurs de risques sont le tabagisme, un asthme préexistante, une pneumopathie chronique sous-jacente. Les triggers typiques sont des vomissements, l’activité physique soutenue et les quintes de toux.

Le diagnostic se fait avec une radiographie de thorax standard. Les examens complémentaires tels que scanner thoracique, la bronchoscopie, l’ODG sont nécessaires pour identifier ou exclure une étiologie primaire.