Image
Urinome
20.04.2023

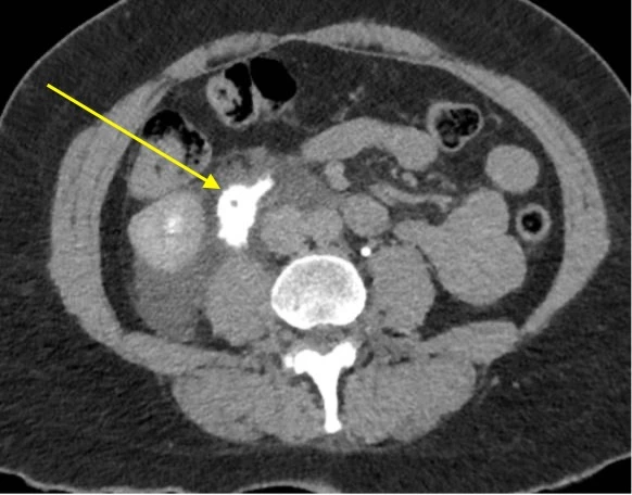
Cette image est celle d’un scanner abdominal en phase veineuse tardive, et montre une collection d’urine rétro-péritonéale (flèche). Il s’agit d’un urinome. Cette pathologie survient après une rupture urétérale, provoquant une fuite d’urine, qui se collecte et qui prend le contraste tardivement au CT. 

Cliniquement, les patient·es avec un urinome présentent des douleurs abdominales et/​ou lombaires aiguës, associées à une oligurie.

L’urinome est rare et son origine peut être traumatique, iatrogène ou obstructive. L’étiologie principale est l’obstacle urétéral sur lithiase. Les autres causes sont les globes vésicaux, les obstructions sur néoplasie rectale et les syndromes de la jonction pyélo-urétérale dont le diagnostic est souvent prénatal. Les causes traumatiques sont très rares et peuvent survenir suite à des traumatismes pénétrants ou à des mécanismes de décélérations, entrainants des ruptures urétérales parfois bilatérales de la fonction pyélo-urétérale ou de l’uretère distal. Des lésions iatrogènes sont aussi possible, lors d’une endoscopie urétérale par exemple.

La complication principale est la surinfection, pouvant entraîner un sepsis.

Le diagnostic repose sur l’imagerie abdominale :

• Le CT natif et l’ultrason : permettent de montrer une dilatation pyélocalicielle éventuelle, et la collection.

• Le CT injecté en phase tardive (réalisé dans un deuxième temps en cas d’insuffisance rénale aiguë !) : met en évidence le signe de la toile d’araignée (visualisation des septas périrénaux) et montre une extravasion de produit de contraste sur rupture du fornix (région pyélocalicielle), de la jonction pyélo-urétérale ou de l’uretère. Il a l’avantage, par rapport à l’ultrason, de confirmer l’origine et la localisation de la brèche.

Le traitement consiste principalement à traiter l’étiologie et à la pose d’une sonde double J pour protéger l’uretère lésé. Si l’urinome est de grande taille, un drainage percutané peut-être proposé. Lors d’une prise en charge conservatrice, l’urinome se résorbe spontanément en quelques jours.